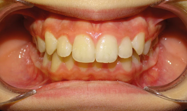
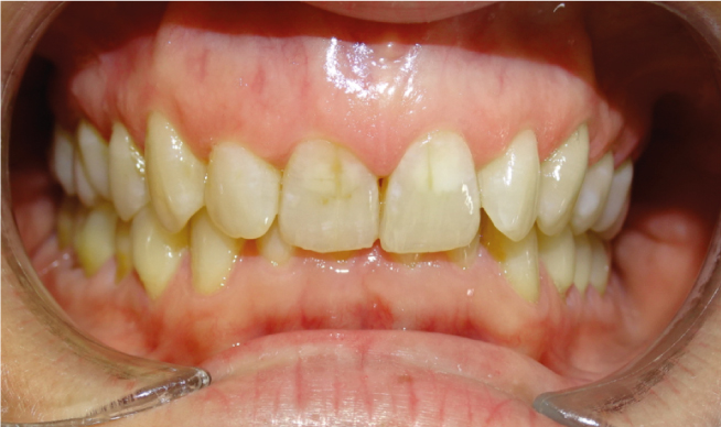
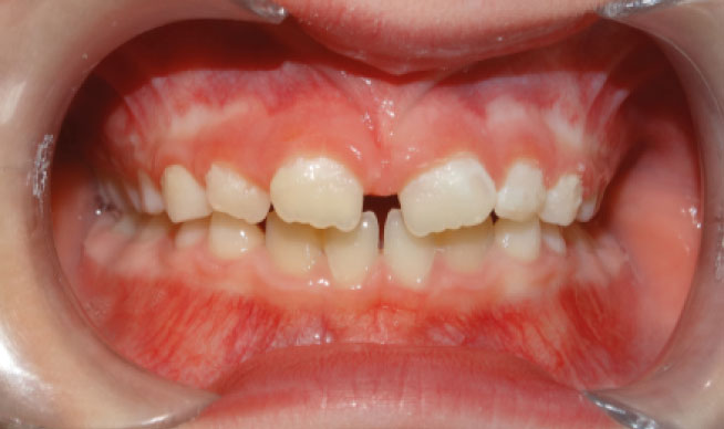
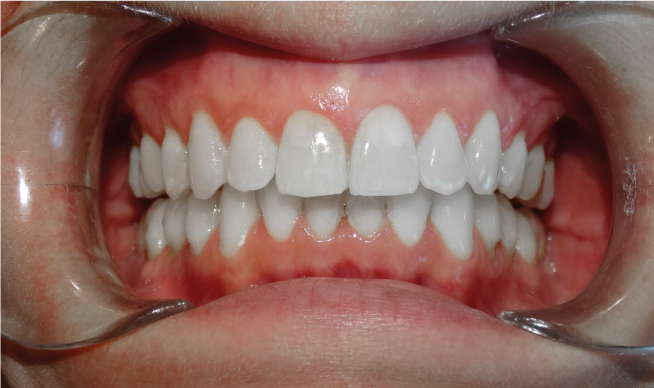
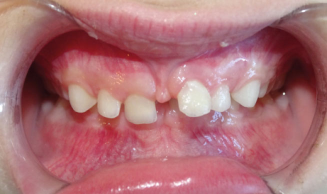
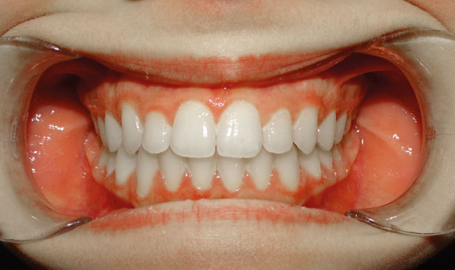
la présence d’une supraclusion, cela signifie que le recouvrement des incisives inférieurs par les incisives supérieures est trop important. Autrement dites, les dents du dessus « cachent » celles du bas, c’est pourquoi on parle aussi de recouvrement dentaire. La supraclusion se manifeste par un recouvrement trop important des incisives inférieurs par les incisives supérieures. Les dents du dessus « cachent »les dents du bas. Ce trouble est fréquent et est aisément traitable grâces aux nouvelles techniques d’orthodontie. Grâce aux nouvelles techniques d’orthodontie, le traitement est facilité́. Il n’est plus nécessaire de porter des « casques » externes et il est très rare d’extraire des dents. Le port de rackets (les « bagues ») permet de résoudre le problème chez l’enfant et l’adulte.


