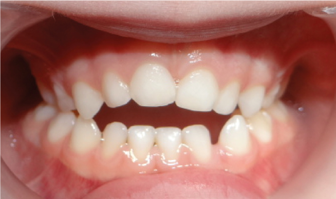
La Béance dentaire est un type de malocclusion dentaire que l’on remarque chez de nombreuses personnes.
Si à priori, elle parait normale chez les jeunes enfants, la persistance d’une béance peut être le signe d’une anomalie.
Donnant peu d’esthétique à votre visage en général et à votre bouche en particulier, ce défaut d’alignement vertical des dents peut être néanmoins corrigé.
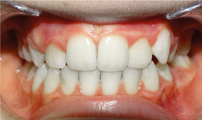
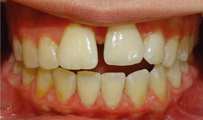
En orthodontie, la béance est l'espace créé dans le plan vertical lors de la fermeture des mâchoires.
Les causes d’une béance dentaire chez l’adulte ne sont pas encore clairement définies à ce jour. Par contre, les conséquences sont assez connues et sont de plusieurs ordres. Ainsi, au-delà du manque d’esthétique, on retient que toute personne souffrant de béance dentaire est susceptible de souffrir de trouble de la phonation, de difficultés de la mastication, sourire disharmonieux, etc...


