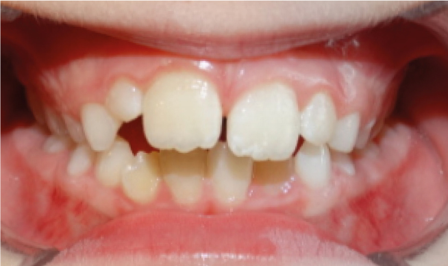
Qu’on les appelle dents du bonheur, de la chance ou plus médicalement diastème, le problème est le même. Il y a un espace entre les dents. Dans certaines régions du monde, ce détail physique est même un signe de beauté. Mais cet espace peut aussi être corrigé.
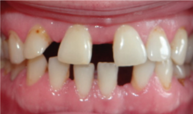
En général, le diastème est congénital. Il peut être causé par des incisives centrales et latérales trop étroites, ou encore par une agénésie dentaire. Certaines des dents définitives sont absentes. Elles ne vont pas pousser. Par conséquent, cela provoque un espace important.
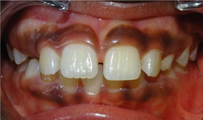
Il est conseillé de refermer cet espace, car il peut en effet entraîner des défauts importants de prononciation ainsi que parfois, des complexes physiques.
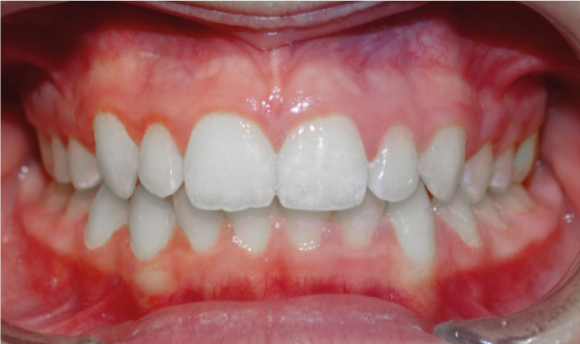
Cet écartement peut se trouver à plusieurs niveaux, et notamment sur la mâchoire inférieure. Il existe également des diastèmes généralisés, où toutes les dents sont indépendantes. Mais le plus souvent cet espace se trouve entre les deux incisives centrales supérieures.
Ces espaces sont réduits progressivement sans besoin de cacher les espaces par des prothèses avec 10 mois d'aligneurs® en OEFS©.


