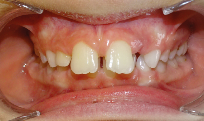
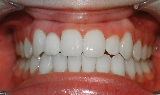
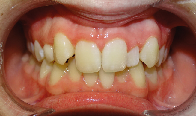
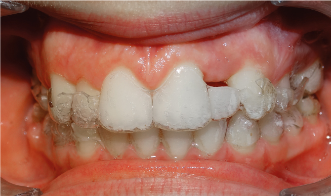
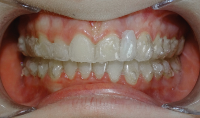
L’Agénésie est une absence héréditaire d'une ou plusieurs dent. La plus fréquente est l'incisive latérale maxillaire. Dans ce cas il faut décider soit de fermer l'espace et de mettre la canine à la place ce qui diminue le sourire et reste visible même après camouflage prothétique...La première solution est de créer la place de cette dent pour remplacer son absence génétique par une prothèse et retrouver l'esthétique que le patient aurait eue avec sa dent. Dans ce cas notre Viber b And Smile a permis un traitement très esthétique sans aucun taquet et avec des facettes esthétiques dans les gouttières plastiques.


