Qu'est ce que La classe II ?

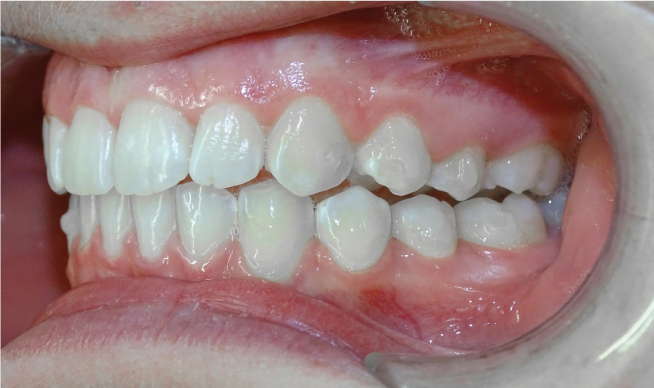
La classe II est fréquente en orthodontie et son traitement dépend non seulement du diagnostic mais aussi de l'évolution des appareillages. Nous traitons toutes les classes II avec Invisalign depuis 2008 et sans bagues quelle que soit la déformation ou la cause.

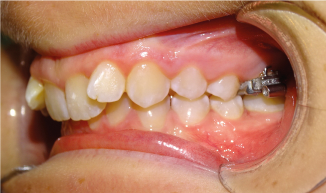
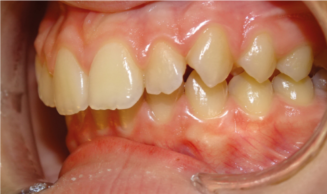
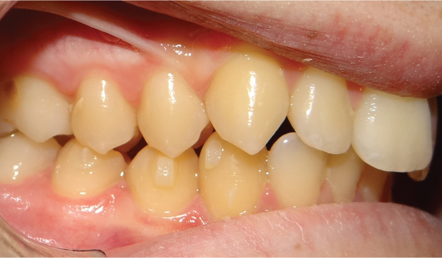
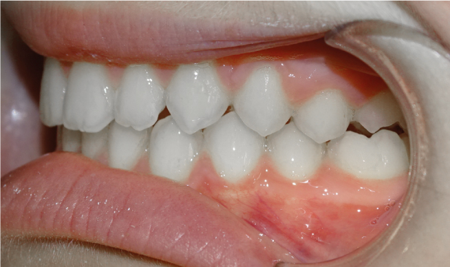
La classe II, c’est quand la mâchoire du bas est en arrière de la mâchoire du haut, donnant l’effet de “dents en avant” pour la mâchoire du haut. Si c’est normal à la naissance, Ceci paraitrait normal à la naissance et tend à se corriger avec l’allaitement maternel et la recherche de contacts entre les incisives du haut et du bas. Au plus on intervient tôt, au plus la mâchoire du bas va rattraper la mâchoire du haut ; au plus on attend, au plus on reculera le haut sur le bas avec des conséquences sur l’esthétique du profil et la capacité ventilatoire nasale.
L’os et les muscles se déforment pour permettre de mastiquer, respirer et parler avec ces décalages entraînant des répercussions globales sur l’ensemble du corps.

Dans le cas d’une Classe II :
  • La lèvre du bas s’interpose entre les 2 mâchoires
  • Le sourire est étroit, tendance à l’écrasement du bas du visage
  • Apparition de cernes en relation avec le manque de croissance de la mâchoire du haut
  • Difficultés à respirer par le nez et oxygéner le haut du visage